医療法人一颯会 よつば歯科クリニックの詳細情報
医療法人一颯会 よつば歯科クリニック

医療法人一颯会 よつば歯科クリニック
下関市秋根北町8-17
JR山陽本線(岩国-下関)新下関駅から徒歩15分
- #インビザライン
- #矯正歯科
- #マウスピース矯正
- #親知らず
地域密着×先進医療!下関の頼れる歯医者さん
新下関駅から徒歩10分の場所にあるよつば歯科クリニックです。当院は、地域に根ざした“定期管理型メンテナンス”を中心とした歯科医院です。虫歯や歯周病を未然に防ぎ、万が一歯のトラブルが起きても“早期発見・早期治療”を徹底することで、健康な自分の歯を長く大切に保つ診療を提供しています。また、「家族を一番に紹介したい歯医者さん」を目指し、患者への思いを込めた丁寧な医療を追求しています。 🍀 7つの特徴🍀 1. 定期管理型メンテナンス 専任のカウンセリングと担当歯科衛生士制により、口腔環境の変化や生活習慣に寄り添ったケアを実践 。 2. インプラント治療 年間300本以上の治療実績を持ち、難症例でも院内一貫体制で安全に対応。永年保証制度もあり、術後の安心感も重視。 3. 新しいマウスピース矯正 3Dプリンターによる“シェイプメモリーアライナー”でチューイー不要・短期間の矯正が可能。 4. セレックワンデートリートメント 虫歯治療から被せ物の作成までを“1日完結”で実現。年間7000本の治療実績と高精度なセラミック使用で再治療リスクも低減。 5. 精密根管治療 マイクロスコープを用いて治療精度を高め、年間200件以上の症例を安定した経過で治療。 6. 感染対策・滅菌システム クラスB滅菌器や高性能洗浄機を導入。理事長が「歯科感染管理者1級」の資格保有者で、器具は可能な限り使い捨てを採用。 7. 完全個室&バリアフリー環境 プライバシーに配慮した診療室はすべて個室。キッズスペースや多機能トイレ、車椅子対応で幅広い患者に優しい設計。
基本情報
住所
下関市秋根北町8-17MAP最寄駅
JR山陽本線(岩国-下関)新下関から徒歩15分電話番号
083-257-6480
診療内容
インビザライン/矯正歯科/マウスピース矯正/親知らず/小児歯科/虫歯/小児矯正/ワイヤー矯正/部分矯正/歯周病/インプラント/ホワイトニング/ホームホワイトニング/オフィスホワイトニング/審美歯科/知覚過敏/歯科口腔外科/入れ歯・義歯/噛み合わせ/予防歯科/歯科検診/訪問歯科診療/顎関節症/クリーニング/差し歯/ブリッジ/つめ物・かぶせ物/抜歯/根管治療
医院特徴
駅近/バリアフリー/駐車場有/電話予約可/当日予約可/土曜診療
医院HP
https://yotuba6480.com/
MAP
医療法人一颯会 よつば歯科クリニックの症例
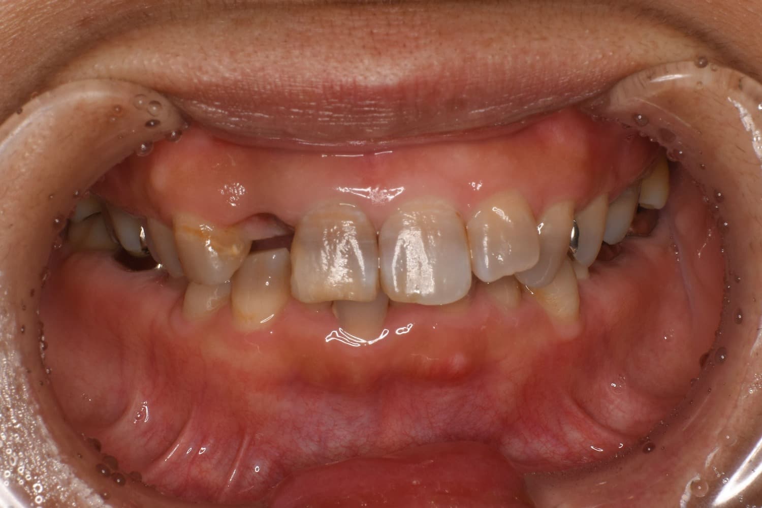
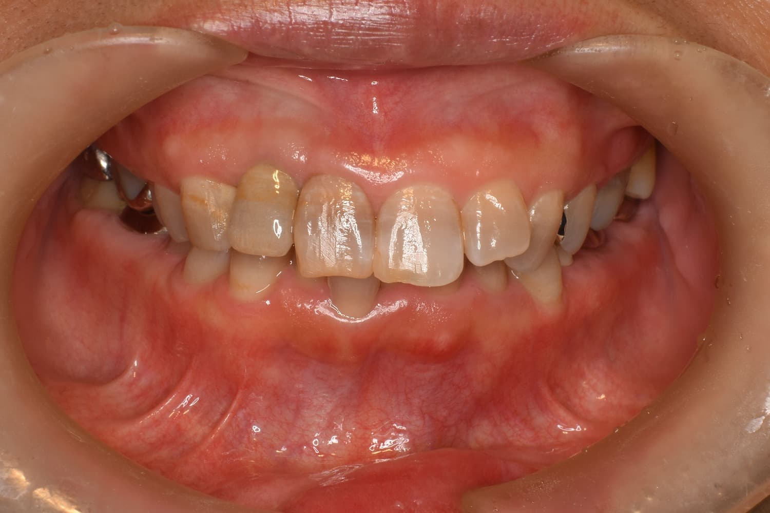
右上前歯のインプラント治療(40代女性)
Before

After

右上2番目の歯が縦に割れていたので抜歯をして、インプラントによる治療をおこなう。
年齢
40代
性別
女性
主訴
3日前から右上の前歯がズーンと重く痛い。
治療期間
約6ヵ月
治療回数
8回
費用
510,000円(税込み561,000円)
副作用・リスク
・治療後のメンテナンスが必要 ・清掃不良によるインプラント周囲炎 ・咬合力の強さによる被せ物の脱離や破損
院長紹介


理事長
後田一帆
経歴
福岡県立小倉西高等学校 卒業 独立法人 九州歯科大学 卒業 九州歯科大学附属病院 総合診療科 入局 医療法人アサップ 水俣ひかり歯科クリニック 勤務 医療法人アサップ 足立の森ひかり歯科クリニック 分院長として勤務 2016年 よつば歯科クリニック 開院 2018年 法人化(医療法人一颯会よつば歯科クリニック) 2022年 下関市内にて移転開業
Medee歯科検索は、おすすめしたい歯医者を掲載しています。
駅、行政区、診療時間、歯科医院の特徴、診療科目など豊富な検索メニューで歯科医院を検索可能。
また歯科医院のWebサイトはもちろん各種予約ツールも利用することが可能で、より簡単に歯科医院を探すことができます。
「Medee歯科検索」に掲載されている情報について
本サイトに掲載している各種情報は、各歯科医院の自己申告情報をもとにしています。
サイト運営会社の株式会社エクスコアにおいても、情報の正確性について確認するよう努めておりますが
掲載内容の正確性を保証するものではなく、本サイトご利用により生じた損害について
株式会社エクスコアは、一切責任を負わないものとします。
情報に誤りがある場合には、お手数ですが株式会社エクスコア「Medee歯科検索」担当まで ご連絡ください。


