きたみ歯科医院の詳細情報
きたみ歯科医院

きたみ歯科医院
福島県郡山市安積町荒井 北大部1−12
- #インビザライン
- #矯正歯科
- #マウスピース矯正
- #親知らず
最新のテクノロジーと専門医の技術で、あなたの笑顔と食生活を取り戻します
当院では、インプラント治療に特化した最新設備と高度な技術で、患者様一人ひとりに最適な治療をご提供します。 専用手術室やエックスガイドを用いた精密ナビゲーション手術により、安全性と正確性を追求しています。 • インプラント専門医による施術 — 専門的知識と豊富な臨床経験で安心 • インプラント専用手術室完備 — 感染予防と快適性を両立 • 難症例にも対応 — 骨造成やザイゴマインプラントにも対応可能 • 痛みに配慮した多様な麻酔方法 静脈内鎮静法や全身麻酔から選択可能 • 10年保証制度 — 治療後の長期サポート体制 • エックスガイドによる最新ナビゲーション手術 — 3D画像とリアルタイム誘導で精密な埋入が可能
基本情報
住所
福島県郡山市安積町荒井 北大部1−12MAP電話番号
024-947-0541
診療内容
インビザライン/矯正歯科/マウスピース矯正/親知らず/小児歯科/虫歯/小児矯正/ワイヤー矯正/部分矯正/歯周病/インプラント/ホワイトニング/ホームホワイトニング/オフィスホワイトニング/審美歯科/知覚過敏/歯科口腔外科/入れ歯・義歯/噛み合わせ/予防歯科/歯科検診/訪問歯科診療/顎関節症/口臭/クリーニング/差し歯/ブリッジ/つめ物・かぶせ物/抜歯/根管治療/全身麻酔/笑気麻酔
医院特徴
バリアフリー/駐車場有/駐輪場有/電話予約可/土曜診療/日曜診療/祝日診療
医院HP
https://www.kitami-dc.com/implant
MAP
きたみ歯科医院の3つのこだわり

日本口腔インプラント学会専門医による高度な治療
日本口腔インプラント学会認定の専門医が、豊富な臨床経験と確かな技術で、一人ひとりに合わせた最適な治療をご提供します。難症例にも対応し、安心してお任せいただけます。

最新の設備と技術
滅菌環境に配慮したインプラント専用手術室やエックスガイドなど、最先端の医療設備を完備.精密な診断と安全性の高い手術を実現します。

世界基準のインプラントシステム
世界的に信頼されるインプラントメーカーのシステムを採用し、長期的な安定性と高い審美性を両立.安心の保障制度も設けております。
きたみ歯科医院の症例
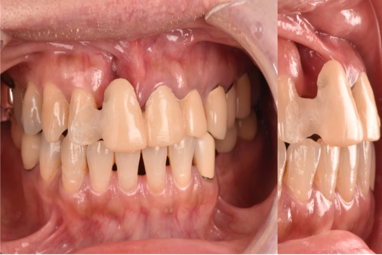
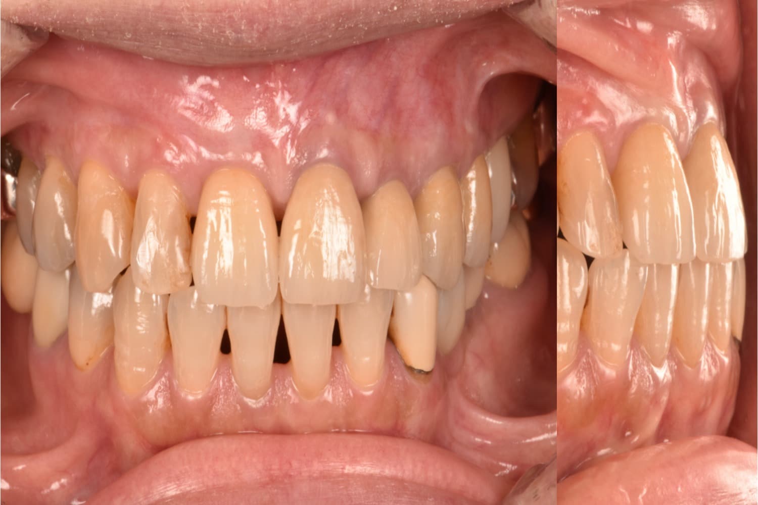
右上1の前歯部のインプラント治療
Before

After



右上1の前歯部のインプラント治療
年齢
50代
性別
女性
主訴
前歯を綺麗にしたい
治療期間
10カ月
治療回数
15回
費用
913,000円
副作用・リスク
清掃状態等によりインプラント周囲に炎症を起こす可能性があります。
写真一覧

インプラント専用フロアの受付・待合室。明るく清潔な空間で、初めての方も安心してご来院いただけます。リラックスできる雰囲気づくりを大切にしています。

インプラント専用オペ室。清潔域を保った専用の手術室で、案円かつ快適なインプラント手術を行います。滅菌環境で感染リスクを最小限に抑えます。

エックスガイド(ナビゲーション手術装置)3D画像とリアルタイム誘導で、正確かつ低侵襲な埋入を可能にします。最新のデジタル技術で治療精度を高めます。

カウンセリングルームでの分かりやすい説明。模型や画像を使い、治療内容・治療の流れ・費用まで丁寧にご説明します。不安や疑問を解消してから治療を始められます。

静脈内鎮静法・全身麻酔対応。痛みや不安を軽減し、快適に手術を受けられる体制を整えています。患者様に合わせて麻酔方法を選択できます。

ジルコニアを使用した美しい補綴物(人工の歯)。自然な色合いと強度を両立した人工の歯を装着できます。自然な噛み心地と見た目の両方を大切にしています。
院長紹介


院長
北見 遼二
経歴
2007年 日本大学歯学部歯学科 入学 2013年 日本大学歯学部歯学科 卒業 2013年 横須賀共済病院 歯科口腔外科 勤務 2014年 横須賀市開業医 勤務 2016年 神奈川歯科大学附属病院 顎・口腔インプラント科 勤務 2021年 All-on-4 clinic(法人累計インプラント埋入本数10000本以上の実績) 銀座院 勤務 2021年 神奈川歯科大学附属病院 顎・口腔インプラント科 非常勤 2023年 All-on-4 clinic 銀座院 非常勤 2023年 神奈川歯科大学附属病院 顎・口腔インプラント科 特任講師 2024年 医療法人 倖和会 きたみ歯科医院 勤務 所属・資格 日本口腔インプラント学会 専門医 神奈川歯科大学附属病院 顎・口腔インプラント科 特任講師
Medee歯科検索は、おすすめしたい歯医者を掲載しています。
駅、行政区、診療時間、歯科医院の特徴、診療科目など豊富な検索メニューで歯科医院を検索可能。
また歯科医院のWebサイトはもちろん各種予約ツールも利用することが可能で、より簡単に歯科医院を探すことができます。
「Medee歯科検索」に掲載されている情報について
本サイトに掲載している各種情報は、各歯科医院の自己申告情報をもとにしています。
サイト運営会社の株式会社エクスコアにおいても、情報の正確性について確認するよう努めておりますが
掲載内容の正確性を保証するものではなく、本サイトご利用により生じた損害について
株式会社エクスコアは、一切責任を負わないものとします。
情報に誤りがある場合には、お手数ですが株式会社エクスコア「Medee歯科検索」担当まで ご連絡ください。




